Case of the week
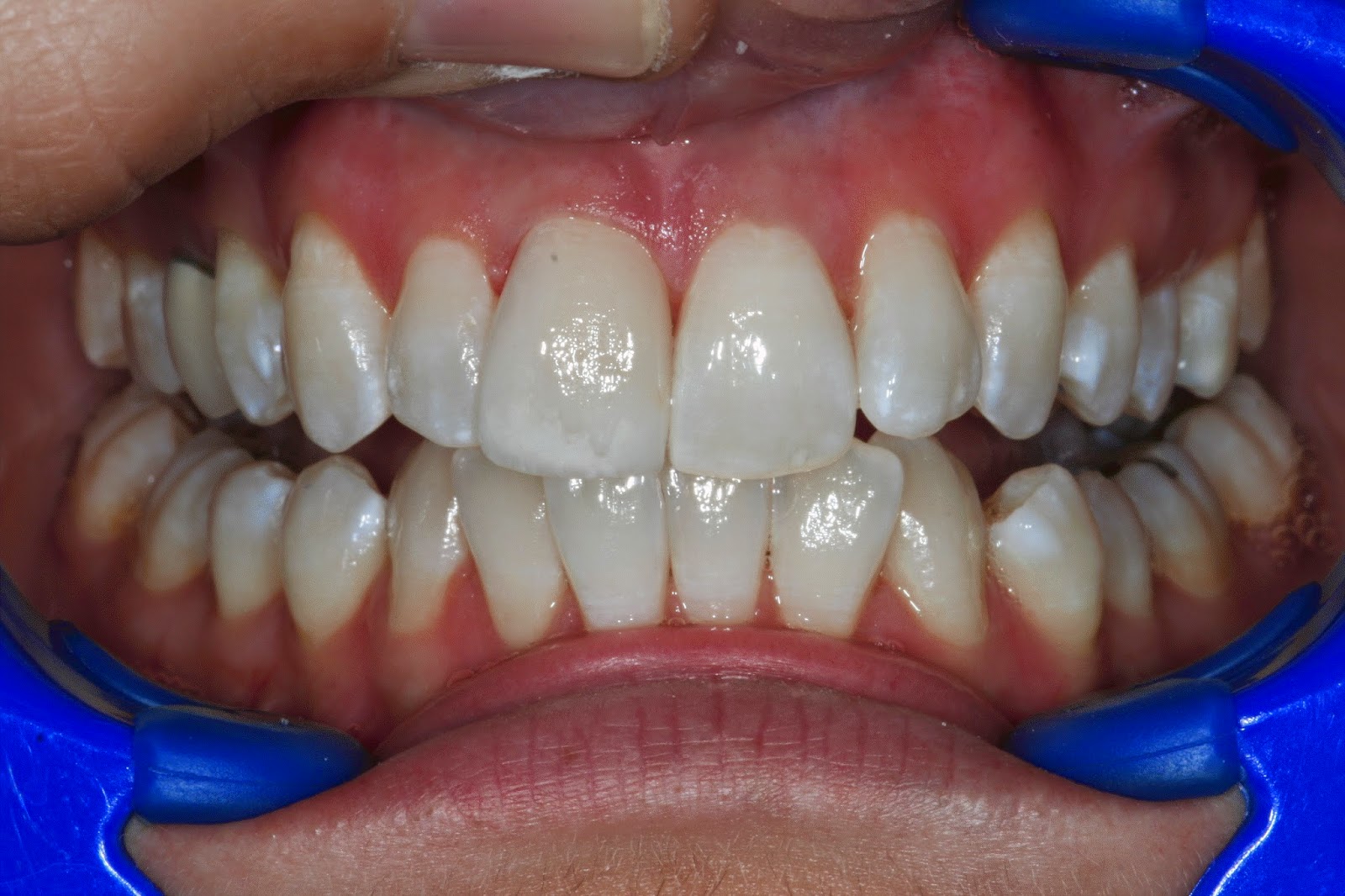
Sometimes when an accident occurs and a front tooth is broken a decision is made to re-face the entire tooth with a porcelain veneer. It is very challenging for all those involved to get a “perfect ” match. Fortunately their are very skilled lab technicians out there that are capable of stepping up to the challenge. Try to guess which one is fake before scrolling down farther.
![]() |
|
| Guess the veneer! |
Scroll down to see which tooth is actually the single porcelain veneer
Did you guess the right one? As I said this is not easy to do and this particular instance is not a normal outcome. Typically I want either a composite veneer (because I can adjust it myself in real time) or I want porcelain veneers on the front two teeth so the lab can match at least the two central.
Bryan Bauer, DDS, FAGD
630-665-5550
630-665-5550






