Thumb habits and Impact on the development of the jaws
Thumb sucking is a very normal process for babies and toddlers. It is soothing and calming, and there is no reason to worry if your child is under 5 years of age. In most cases, if the thumb habit is ceased around age 4-5, the permanent teeth will come in (around age 6) just fine. However, if the habit persists beyond the time the permanent teeth begin to erupt (age 6), the bite becomes affected. As a child sucks his or her thumb, a tremendous negative pressure is created inside the mouth, while outside, the cheeks are
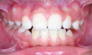
being contracted at the same time. The characteristic bite of thumb sucking is “protruding” or flared upper front
teeth, spacing between the upper front teeth, open bite (see picture
below-where front teeth don’t touch), and a narrowed upper jaw (due to the
negative pressure inside the mouth and the positive pressure from the cheeks “pushing”
on the back. These characteristics can
do many things to affect the eruption of the other permanent teeth. For example, too narrow of a palate means
insufficient space to accommodate all the remaining permanent teeth. Also, the pressures created can also impact
the formation of the jaws, where the lower jaw remains much further back than
the upper jaw.
![]() |
|
The cheeks push the UPPER back teeth IN, causing a narrowed
palate, while the tongue posture is LOW, so no balance of forces occurs on the upper teeth (as seen in the lower teeth) |
treatment will be a short 8-10 month duration and will consist of only 1
appliance to prevent the thumb from sneaking in the mouth (especially at night
which is the hardest to control!)
expander, or just a regular thumb crib.
crib? Dr. Bauer will explain all of this
to you- if your child has a crossbite, he or she will need the expander as
well.
(example of a crossbite)- Upper back teeth are
located behind Lower back teeth
I know how thumb habits are difficult to stop, but we are here to help you!!
Please call us with any questions! Don’t hesitate to bring in a child even at the age of 4-5 to get some ideas for getting that thumb out of there! We want you and your child to succeed!!








