Dental cases I don’t agree with
#11 This needs replacemtn to the exact same degree the authors need to write this article. They couldn’t find decay to replace or a broken tooth? I’ll see 100 teeth worse than that by noon on any given day and not even think about touching it. Total over treatment.
#8Pontic site development site for case with low lip line and that would have much better result by lasering tissue, forming an ovate site, and then using ovate pontic. The final results look like nothing was done to preserve anything. All this did was add risk of one of the retained roots blowing up down the road. Bad idea, unwarranted, and bad result. Real tri-fecta!
#7
Another case of why pull them all? From AACD
#6
Granted a pano doesn’t give all the information and neither does the article, but I see many teeth that look great.
#19-21 all look fine. #22 looks pretty good. And #30 may be fine also, mesial bone loss maybe??
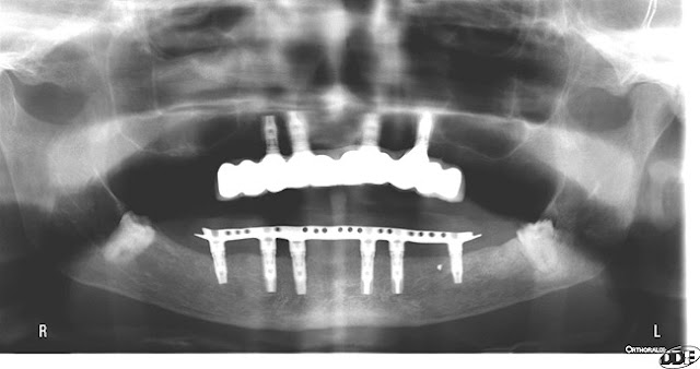
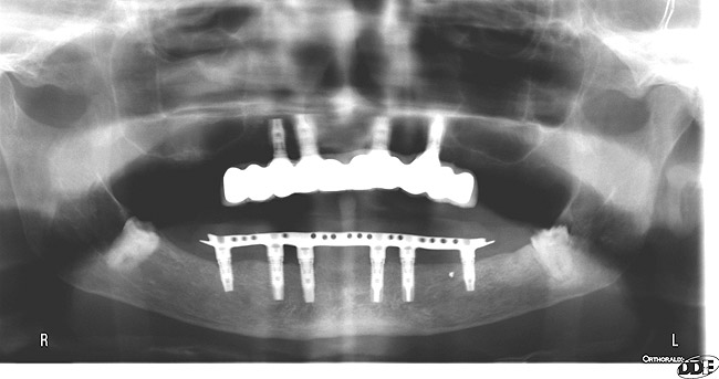
Also pulling hem all and restoring with bar OD now eliminates all proprioceptive response and with nothing under the maxillary denture the patient is going to destroy the premaxilla. This contraindication (lower implant supported prosthesis vs max denture) can be found in many articles.
Either add 4 implants under maxillary denture with locators if patient insists doesn’t want teeth anymore or do fixed implant supported bridges on mandible where they are needed and maintain some natural teeth for proprioception.
#2
This lady spent probably around $80,000 and I guarantee she looks like she is 10-20 years older.
A primary contra-indication for a fixed maxillary implant supported prosthesis is severe anterior bone loss. Why? Well you can not have both a bulk of material to properly support the lip and make the restoration cleansable. In these types of cases either a Marius bridge or an overdenture is called for. Maybe the patient signed a form saying she would except a sunken lip in exchange for having something that she can not take out, but I doubt that. Now they wisely never show a face shot or profile shot, but you can see the significant loss of lip support in her lateral cephs. I immediately noticed the deficient lip on the cover and when I read the title I knew exactly why it was that way.
![]() |
| Original denture with radiographic markers imbedded within. Notice full natural upper lip |
![]() |
| Interim denture. Notice even better lip support |
![]() |
| Now look at this old lady. Absolutely no upper lip support. What a shame. I would love to see her before and after full face shots. |
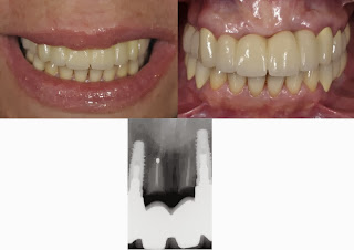
#3
![]() |
|||||
| Those implant are not distal enough to NOT angle them. #1 Why weren’t they angled as that is the protocol. #2 the left one could be placed more posterior by 4-5mm. |
This case would have been a slam dunk if the surgeon had placed implants where they should have been. It appears to me even if the restorative doc was presented with this case to start he should have insisted on an implant in #4 also, there appears to be room. They state in the article that she was class III to start with. I would like to see a lateral ceph because I am guessing she is class III because that is the pattern of bone loss. I also am guessing the lowers were restored right above the existing resorbed bone making it very difficult to restore the uppers properly (I do not know that for sure but is is highly likely and would fit with the poor planning pattern seen in this case). Against a mand implant supported prosthesis this case is at a much higher risk of failure.
#4 Hybrid bridge framework case
This one isn’t that bad but not sure why the metal was included at all?? I’ve never seen anything like that and can only assume it is done to allow for a smaller more natural looking connector between the pontic and the abutment teeth. If that is the case then this is a rather ingenious plan. This may just be my ignorance of the bridge technique. I have been unable to locate anything supporting such a configuration.
These implants are placed far too distal. Ideal location is canine to lateral incisor. Premolar location creates a seesaw effect with the denture.
















