Cervical lesion treatment options of Connective Tissue Graft or Alloderm
Etiology of cervical lesions is multi-factorial.
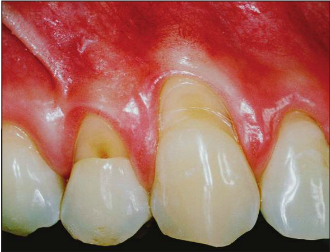
![]() |
| Before |
![]() |
| After |
Conditions impacting success
- Material used
- Tooth root surface
- Surgical technique
- Host conditions such as healing ability, muscle pulls, post op care
Surgical treatment options for noncarious cervical lesion (NCCL)
Vertically coronally advanced flap (V-CAF) and connective tissue graft (CTG)
The traditional CT graft is still the gold standard for this procedure.
Steps for a NCCL
- Roughen area (mircoetch)
- Bond RMGI
- Horizontal incisions at right angle to adjacent interdental papilla 1mm apical to NCCL
- Oblique incisions past mucoginigval junction from there
- Split thickness flap apically for release
- De-epithelize adjacent tissue
- CTG from palate to cover restoration
- Coronally reposition flap
- Suture PGA (Sling suture)
- No brushing CHX 7 days suture removal
If color change after the years may need composite over whatever is exposed.
![]() |
![]() |
| Suture |
Steps for recession
- Horizontal incisions in interproximal keratinized tissue and 2 divergent releasing vertical incisions into alveolar mucosa
- Split thickness at papilla and vertical.
- Full thickness in midbuccal coronally then split thickness deep.
- Score for tension free closure
- Remove a 4-5mm strip of the apical labial submucosa. (Not sure didn’t just do a full thickness flap? I think this is cleaning off all the mucosa from tooth surface and a little below to clean the root surface) Fadda IJPDR 2022 Fadda pdf
- Scale root surface 24% EDTA for 2 minutes
- De-epithelize papilla area
- Place CTG at CEJ with 2 simple 7-0 PGA at papillas. Graft is 1mm short of distance between two veritcal releases, less than 1 mm thick, 4-5mm apicocoronal height irrelevant to depth of recession.
- Flap closure with sling suture at papilla and interrupted at vertical releases.
CTG vs Acellular dermis
- Gingival width thicker with SECTG (Subepithelial CT graft) Moslemi 2011 J Clin Perio
- SECTG still the “gold stanadard” Chambrone 2008
- Acellular dermis less traumatic and unlimited supply
Reference Dentistry Today Allen 2006
![]() |
| Available acellular dermis today Silc Compendium link may expire in 2016 |
Tunnel vs flap
- Flap more width less technique sensitive everything else about the same 1
- Flap had more coverage than tunnel 1
Tunnel technique
- 800mg ibuprofen. 1 min CHX
- Intrasulcular incision along facial of anteriors
- Orban used to full thickness flap
- Root planing to reduce root prominence and smooth surfaces
- ADM 5mmx40mm through one side out the other
- ADM secured with continuous 4.0 plain gut
- Gingiva coronally advanced with continuous chromic 4.0 gut
- 3x3x3 rule
- CHX bid without brush or floss for 1 week
- 1 week remove sutures, gentle brush and floss for another week, stop CHX
Final steps
After graft is placed and gingiva is secured over the graft and root surfaces, the vertical incisions are closed.
Alternative is to detach gingival flap from interdental papilla at isolated sites less esthetically critical but more technique sensitive.
Reference from AACD Summer 2012
Video Intentional Exposure AlloDerm Root Coverage Grafting by Kwan
Video with procedure using Alloderm Kwan again
Acellular dermis coronally advanced flap LAVA technique laser-assisted vesibuloplasty approach 1
- Laser split-thickness vestibuloplasty slightly above mucoginival junction
- Removal of muscle and or frenum pulls
- Measurement of acellular dermis
- Papilla sparing flap procedure one tooth mesial and distal to area being treated
- Flap is full thickness to mucoginigval juntion
- Split-thickness by blunt dissection from there, taking care not to enter previous vestibuloplasty
- Check for tension free closure to new coronal position
- Root planing of tooth
- Citric acid treatment
- De-epithelize the papilla with #4 round diamond in papilla area
- Secure pre-measured dermis soaked in PRP from palatal to lingual with non-resorbable continuous sling (allows palatal removal in 1 month)(nylon or polypropylene)
- Buccal flap coronally repostioned with interrrupted sling suture with PGA
- Periosteal securing resorbable suture secure superior to repositioned tissues
- Flap sutures removed 2-3 weeks
- Dermal sutures removed 1 month
Enamel matrix derivatives does not improve Pourabbas 2009 Ind J Dent Rest










Pingback: VISTA = Vertical Incision Subperiosteal Tunnel Access