![]() |
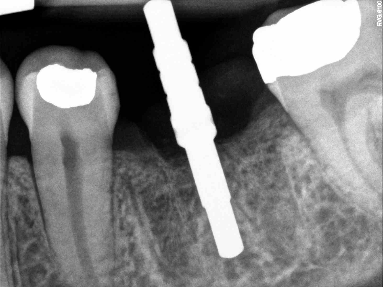
| I used Foundation for this extraction, which I don’t use anymore cause of dry socket issues, but we still had 11mm width for bone. |
![]() |
| I like this one for depth more than last one. After the previous one I made the conscious effort to ensure drills down farther. |







