As with any type of procedure, there are risks and benefits associated with treatment. Luckily for orthodontics, the risks are minimal and very rare. Let’s discuss some risks, starting with the most common:
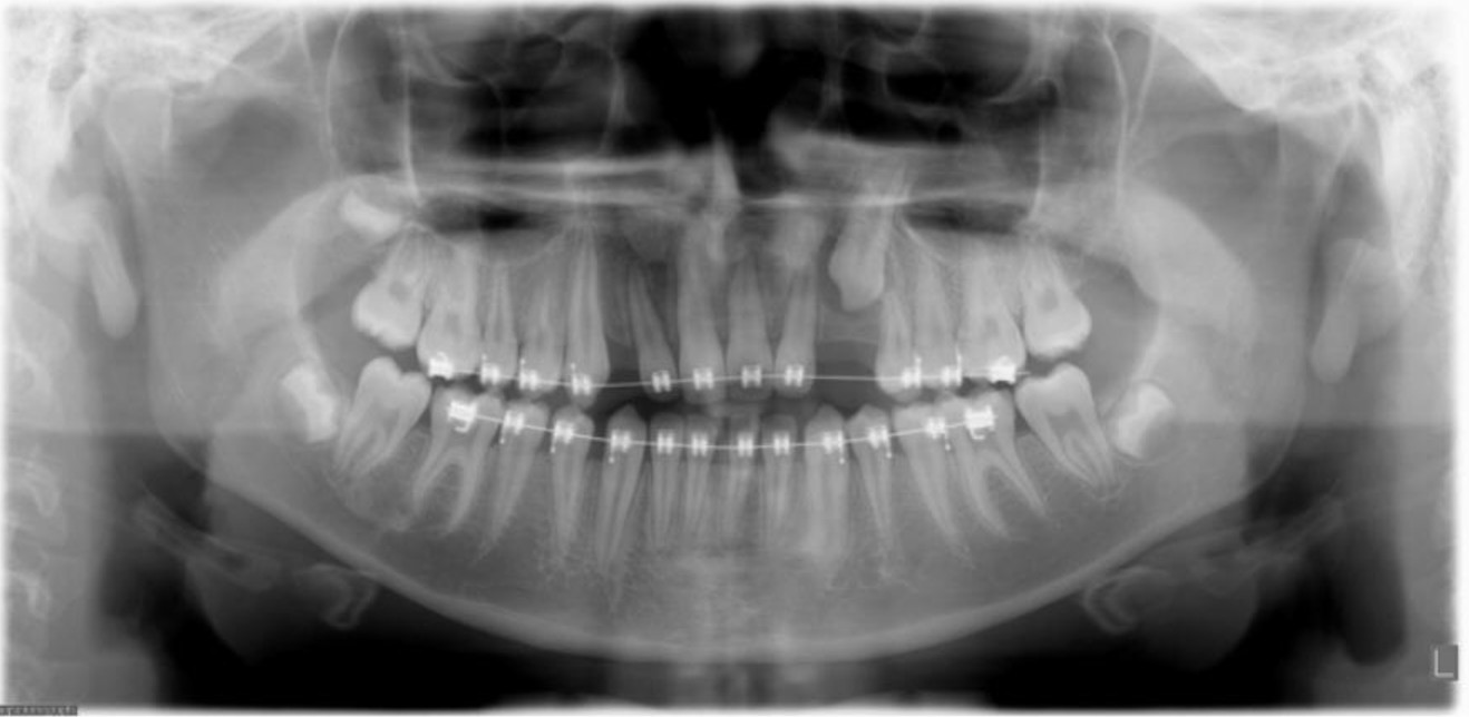
1. Root resorption (WHAT DOES THIS MEAN?!?!): The portion of the tooth that you see in your mouth is called the crown. The portion of the tooth located under the gums and embedded in the bone is called to root. Whenever we move teeth, we are placing forces on the roots so they can move through bone. This causes some trauma to the root. In rare cases, it may cause the root to shorten to a point where we must stop the treatment so it doesn’t get any worse. This is why we monitor the roots with “check up” x-rays every year. Catching the problem early prevents future problems of the roots becoming too short.
This picture is an x-ray of teeth and roots (this is the only way we can see if roots have gotten short). This is an example of a moderate case of root resorption. Once it happens, there is no treatment and must just be monitored throughout life (via x-rays).2. Gum disease/inflammation/periodontal disease: It is known that without proper oral hygiene, bacteria from plaque can cause swelling of the gums, gingivitis, and periodontal disease. Periodontal disease is a destruction of bone that surrounds the tooth. Without the proper amount of bone, the tooth doesn’t have as much support and over time can become loose or eventually be lost. Proper brushing and flossing during orthodontic treatment is essential to prevent these problems. It is harder to keep everything clean while wearing braces, so I would recommend adding an extra cleaning to your yearly schedule (normally you get 2 a year, but I would recommend 3 a year!)
This is a picture of gingivitis, where the gum tissue is very swollen. This is avoided with good brushing and flossing!
3. Along the same lines as #2, plaque and bacteria can “eat away” at the outer surface of the tooth (the enamel) and cause permanent white scars that will not go away even with whitening the teeth. This is irreversible and because the outer layer of enamel has been weakened, it also becomes more susceptible to cavities. This is called “DECALCIFICATION”

These are the most common and most preventable. How can they be prevented? Pretty simple: Brush, floss, maintain your regular dental appointments, and maintain your orthodontic appointments. Average treatment time for braces is 2 years. THE LONGER THE TREATMENT TIME, THE GREATER CHANCES FOR THESE THINGS TO HAPPEN! So maintain appointments and cooperate as necessary (for example, things that keep you in treatment longer: breaking wires and braces, not wearing rubber bands, not coming to ortho appointments, not following proper hygiene instructions).
NOW, lets get to some items that are LESS COMMON but should still be mentioned
4. Nerve damage: If a tooth has had previous trauma (falling, a blow to the face, etc), the tooth may get damaged during orthodontic treatment and may require a root canal or procedure by your dentist or a specialist. If this is the case, orthodontic treatment usually can be resumed after the problem has been resolved. In rare cases, treatment must be stopped to accommodate.
5. Allergies: Occasionally, a patient may be allergic to 1 or more components in braces. PLEASE let us know if you have any sensitivities to latex, resins, or metal of any type. If an allergy develops, we may need to change the treatment plan to accommodate this allergy.
6. Impacted, Ankylosed (fused) teeth: Teeth may become impacted (trapped below the bone or gums), ankylosed (fused to the bone) or just fail to erupt.Oftentimes, these conditions occur for no apparent reason and generally cannot be anticipated. Treatment of these conditions depends on the particular circumstance and the overall importance of the involved tooth, and may require extraction, surgical exposure, surgical transplantation or prosthetic replacement.
TRANSLATION: some teeth do NOT come into the mouth as planned. Canines are a very good example of this. They are often angled in a direction which they will not come in on their own and will require a gum specialist to open a “window” in the gums in order for us to access the tooth to properly bring it into the mouth.
TRANSLATION: some teeth do NOT come into the mouth as planned. Canines are a very good example of this. They are often angled in a direction which they will not come in on their own and will require a gum specialist to open a “window” in the gums in order for us to access the tooth to properly bring it into the mouth.






