Categories of this blog are
Tooth vital- tooth necrotic (Any canal necrotic then tooth considered necrotic)
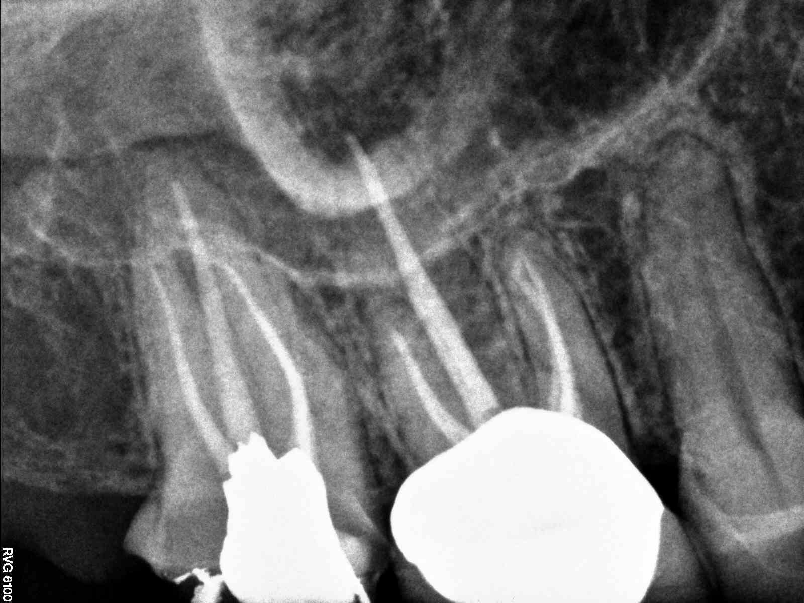
# (teeth with MB3 present- able to cleanse and shape the MB3) – (teeth
with MB2 present- able to cleanse and shape the MB2 – MB2 join
MB1 – teeth I consider calcified that no MB2 was found) – total # of 2nd
molar treated
MB2 distance from MB1 – join MB1
8-4=12
(1-1)-(7-6-4-0)-12
1-2mm – join in apical portion
![]() |
| Did #3 a year or so prior looks good. |







