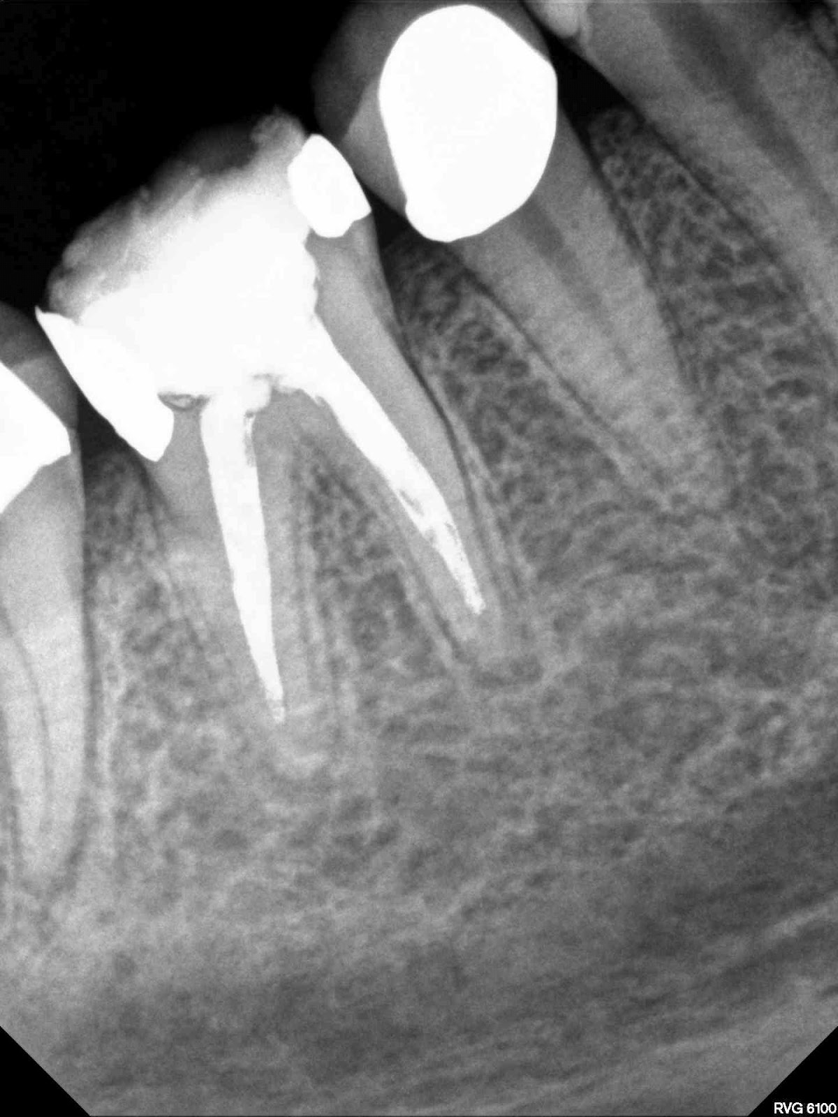
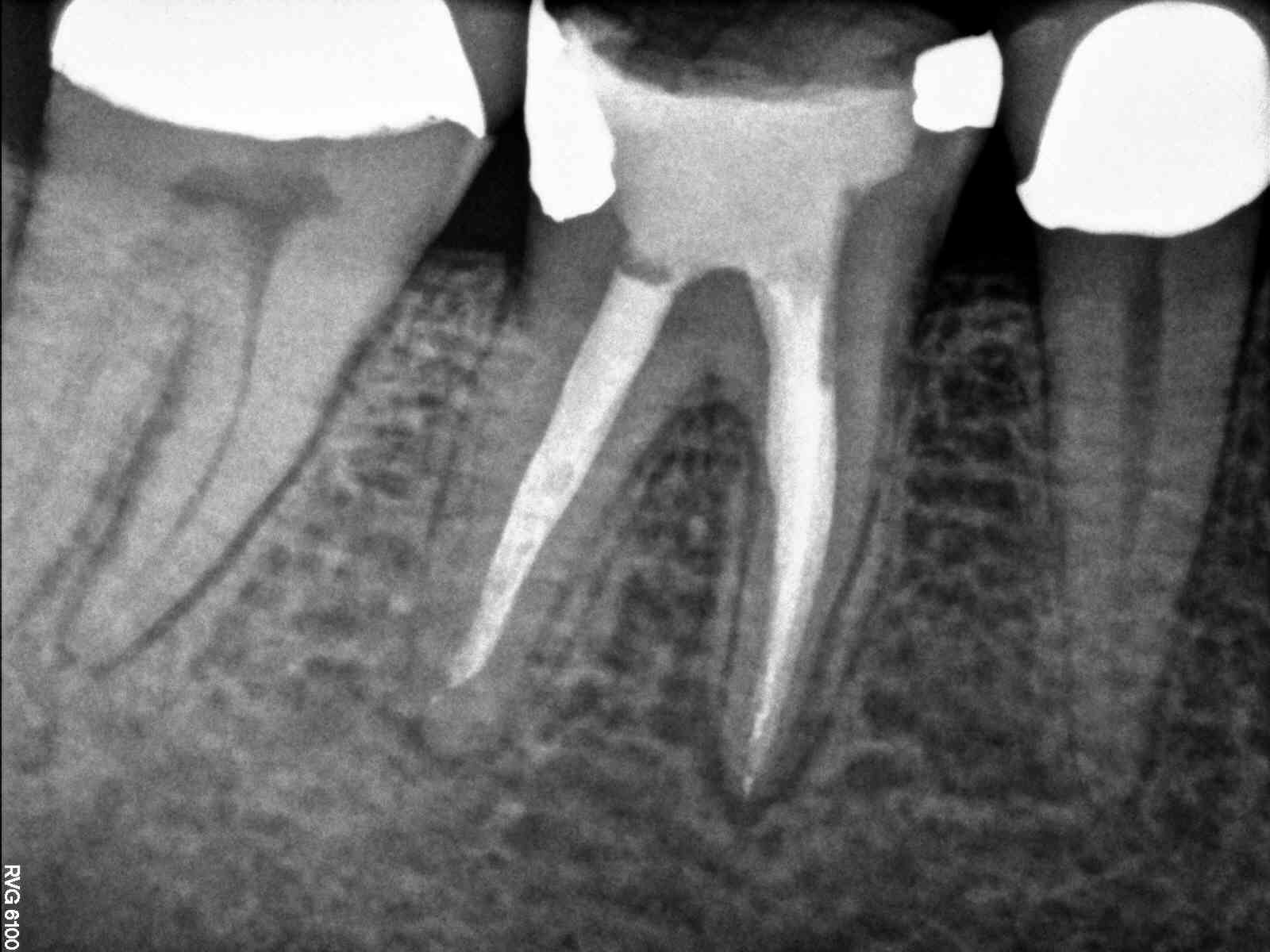
Root Canal Lower Molar First
Mid mesial canal and a ribbon shaped canal in MB canal almost 4 canals. Depending on how you shaped this it would be considered 3 or 4 canals. Appears that mid mesial joins ML.
![]() |
| CaOH |
![]() |
| Final |
![]() |
| Xray taken from distal so ML and mid-mesial on left. |
![]() |
| ML, mid-mesial, and MB apparent. MB2 is probably more of a ribbon fin of off MB. I filled separately. |






