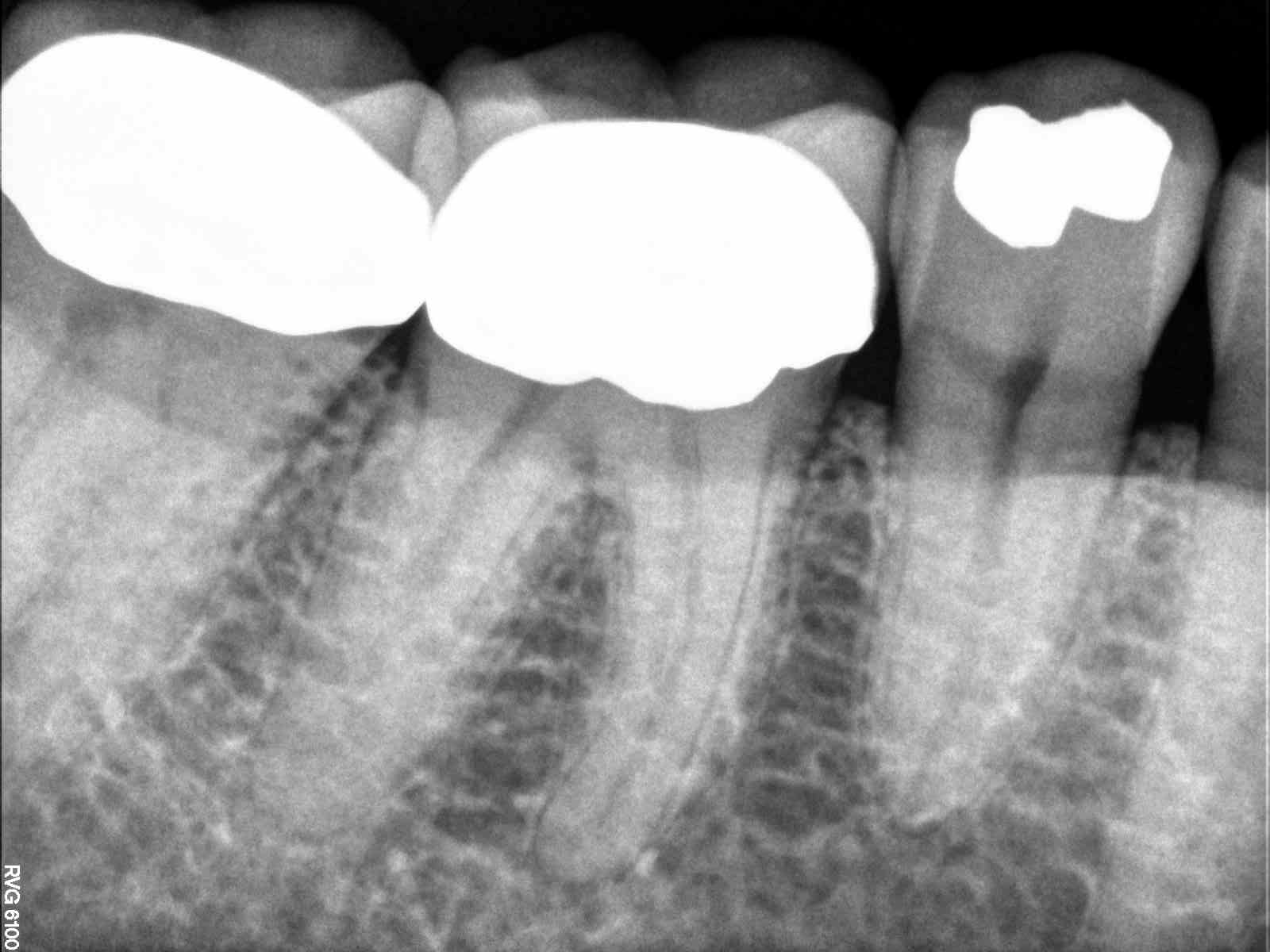
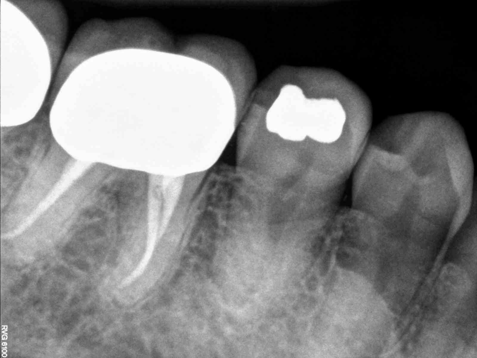
Root Canal Lower Molar First
Vital. Normal anatomy
All 3 canals had apical curvatures that rotaries wouldn’t curve around so had to hand file. They may have been stuck in a ledge formed from my overaggressive use of SX to open coronal though also. either way this took 2 hours and should have been about 1 hour.
Bryan Bauer, DDS, FAGD
630-665-5550
Wheaton General and Cosmetic Dentists
![]()



