Root Canal Lower Molar First
1 mesial canal, although it was ribbon shaped at pulpal floor.
![]() |
| Angled can kind or see where ribbon portion canal is |
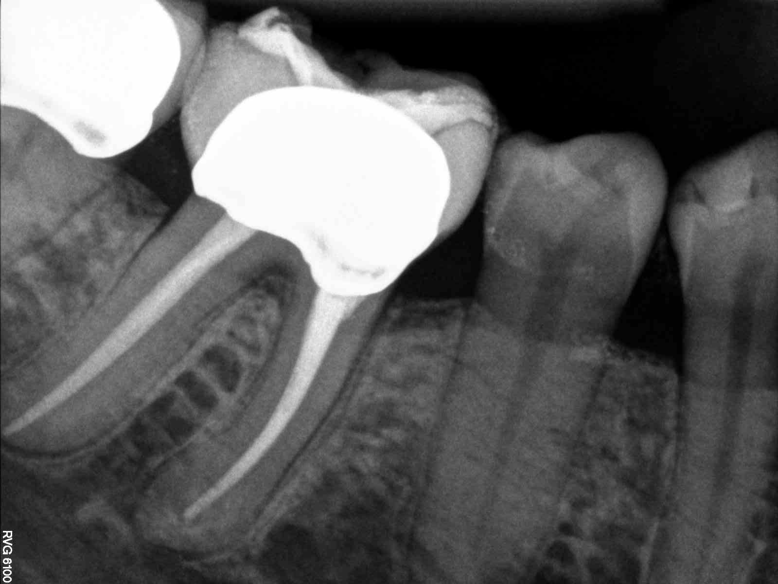
Root Canal Lower Molar First
1 mesial canal, although it was ribbon shaped at pulpal floor.
![]() |
| Angled can kind or see where ribbon portion canal is |


